
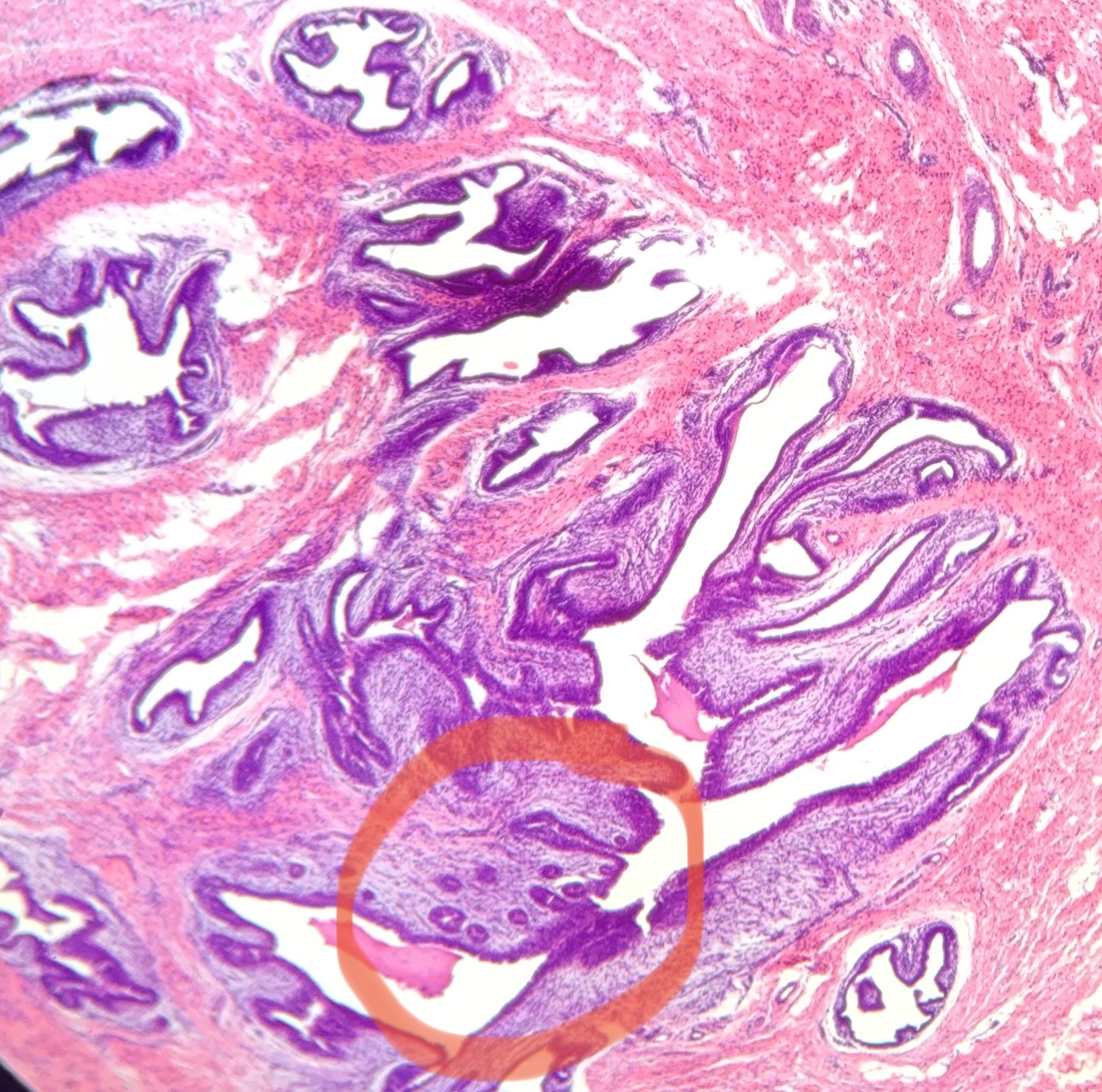
Late-gestation heat stress: impact on dam & daughter’s mammary growth
In dairy cattle, the dry period occurs during the last trimester of gestation. A consequence of heat stress during this dry period is a decrease in milk yield during the dam’s subsequent lactation and poor growth and survival rates of the offspring exposed to heat while in utero. This grant focused on characterizing the short and long-term effects of in-utero hyperthermia. Heat-stressed heifers exhibit smaller mammary glands with smaller parenchyma and fat pad tissues. Altered microstructure and stunned proliferation of these tissues reflected truncated growth. As a result, these heifers produce significantly less milk during their first lactation.
Publications: Dado-Senn et al. 2018; Skibiel et al., 2018; Skibiel et al., 2018B; Dado-Senn et al. 2019; Ouellet et al., 2021; Dado-Senn et al., 2022; Laporta et al., 2022
Beyond the mammary gland…heifers that experience heat stress in utero show changes in other organs and tissues, including the liver (Skibiel et al., 2018), skin and sweat glands (Davidson et al., 2022), adrenal glands (Guadagnin et al., 2024), gastrointestinal tract, and ovaries (work in progress!).
USDA-NIFA-AFRI grant
Project Title
Unraveling changes in mammary gland development due to in utero heat stress
Year Funded: 2019-2023
USDA-NIFA-AFRI grant
Co-PI: Dr. G.E. Dahl, University of Florida
Graduate students & postdocs:
Bethany Dado-Senn, Brittney Davidson, Sena Field, Amy Skibiel, and Veronique Ouellet, among others!

Photo Gallery & Key Findings




